WATERPIK ORAL CARE EDU
You Have The Power To Prevent Dental Disease
Almost all dental disease is preventable with proper habits like daily flossing and using a water flosser, which effectively reduces gingivitis by removing plaque and bacteria, even below the gumline.
It may be a surprising fact, but almost all dental disease is preventable. Even if you have a family history of cavities and gum disease, you can take steps to prevent and end the cycle. Most of us can avoid cavities and gum disease with the right habits.
Understanding Plaque
Bacteria in the mouth collect on tooth surfaces and underneath the gumline in the form of plaque. Plaque is a sticky substance that grows and shelters bacteria. Many bacteria live below the gumline or cling to the surfaces between your teeth, hiding from your toothbrush.
These colonies of bacteria not only make your smile appear stained and your gums red, but also lead to cavities and gum disease.
As your dentist or hygienist will tell you, flossing daily is key. Because bacteria multiply quickly and cannot be removed by brushing alone, it is essential to clean below the gumline and between teeth every day.
Personal Flossing Experiment
I did an experiment where I stopped flossing on one side, but kept brushing everywhere twice per day. Look how at much plaque collected where I didn't floss after only 2 weeks! This was still with brushing!
Flossing Challenges and Failures
If dentists have been hounding their patients to floss for decades, why don't people floss? Recent studies have shown only 10-20% of people floss daily. Worse still, about 1 in 3 Americans never floss. I believe we are flossing failures for two reasons: it's hard to floss, and it's hard to see the benefit.
Another bummer is that most people who do floss are doing it wrong. When you floss incorrectly, you lose half the benefit and often are just wasting your time.
Let me explain. You can think of flossing as providing two benefits:
- Removal of plaque and food between teeth (blue line)
- Removal of plaque below the gumline (green line)
In this photo, the left image shows floss removing stuff between teeth, but the right image shows floss removing plaque below the gumline (the correct way).
In my experience, most patients who floss don't bring the floss below the gumline. So even though they are flossing, they are not cleaning out plaque and bacteria and can still get gingivitis.
If people who floss still get gingivitis, WHY WOULD ANYONE WANT TO FLOSS?
Wash Away Your Flossing Troubles
A few years ago, I set out to find a way to get patients flossing more easily and effectively. After researching different methods, I found that using a high pressure stream of water from the WATERPIK water flosser not only removes plaque and bacteria from the surfaces of teeth, but also goes deep below the gumline. This has the positive effect of reducing gingivitis more than using string floss.

And if you think about it, that makes sense. It's hard to put string into the tight nooks and crannies of every tooth, then somehow pull out the plaque and bacteria. A continuous jet of water breaks up and flushes out this buildup in even the tiniest spaces.
Let's say you're one of the few people who actually flosses every day and does it correctly. Should you ditch the string? I would say you should incorporate water flossing into your routine as much as possible, and if you want to be an overachiever with string that's fine too. But clinical studies do show the WATERPIK water flosser to be more effective.
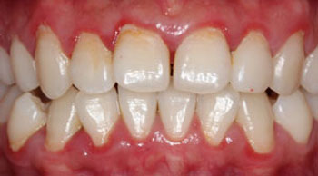
Significant gum disease with lots of plaque and bacteria above and below the gumline
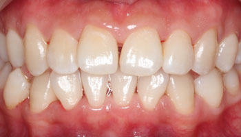
After professional deep cleaning and using a WATERPIK water flosser daily for 6 weeks
Even better, after several years of recommending the WATERPIK water flosser to my patients, they almost always tell me it's actually “fun” to floss with water.
Fun? Floss? Actually I'm not surprised. It's pretty satisfying using a pressure washer to blast away crud and bacteria - and you don't even have to cut your fingers with string!